دکتر فرشید حاجی قاسمی
دکتر فرشید حاجی قاسمی جراح و دندانپزشک با بیش از چندین سال سابقه فعالیت در این حوزه آماده ارائه کلیه خدمات دندانپزشکی میباشد .
در مطب دکتر فرشید حاجی قاسمی کلیه خدمات دندانپزشکی به صورت تخصصی انجام شده و می توان به خدمات دندانپزشکی زیبایی لمینت سرامیکی ، ونیر کامپوزیت ، ایمپلنت نیز اشاره کرد ، همچنین استفاده از بهترین متریال روز دنیا و استفاده از به روز ترین تکنیک های دندانپزشکی از نکات مثبت این دندانپزشک می باشد .
جراح و دندانپزشگ
سال تجربه
حاصل از کار
مفیدِ بیوقفه

مشاوره و ویزیت
نیاز به مشاوره دارید ؟ کافی است با ما تماس گرفته و در کمترین زمان ممکن وقت ملاقات خود را رزرو کنید تا از مشاوره های رایگان ما بهره مند شوید .
شماره تماس : ۰۲۶۳۴۲۰۶۹۶۶
خدمات ما
مفتخر هستیم به
به لبخند شما برترین هستیم
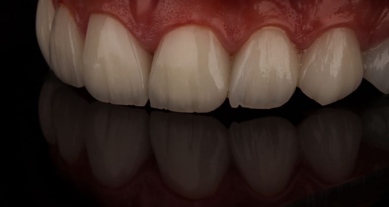
لمینت سرامیکی
چند میلی متر تا زیبایی
ونیر کامپوزیت
لوکس بخندید
روکش سرامیکی
مثل صدف زیبا
ایمپلنت
معجزه لبخند
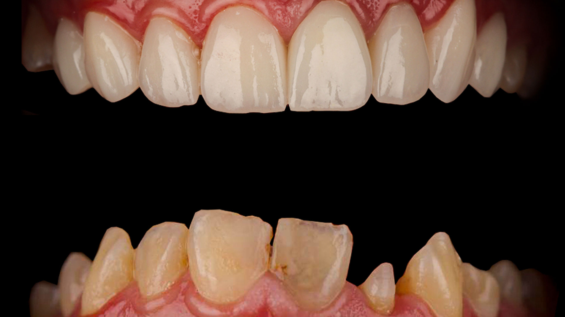
ویدئوی قبل و بعد
لوکس بخندید شما شایسته لبخندی زیبا هستید !
ما بر این باور هستیم که باید با بهترین متریال روز دنیا و با استفاده از جدید ترین تکنیک ها و تکنولوژی دندانپزشکی زیبایی شاهکاری بی همتا برای شما خلق کنیم . این ویدئو گوشه ای از این شاهکار هنری است .
بخش تخصصی زیبایی
تلفیقی از هنر و دندانپزشکی
دکتر فرشید حاجی قاسمی در بخش تخصصی دندانپزشکی زیبایی ما با استفاده از جدیدترین تکنیک های ونیر کامپوزیت و لمینت سرامیکی به طراحی و ساخت اثری هنری می پردازیم که محصول نهایی شاهکاری بی همتا از تلفیق هنر و دندانپزشکی می باشد .
روش کار ما
3 قدم آسان تا خلق لبخندی زیبا
حد فاصل خلق لبخندی زیبا برای شما مراجعه کنندگان عزیز فقط سه مرحله می باشد که به صورت کاملا مختصر به شرح حال آن پرداخته ایم .
دریافت وقت مشاوره
گرفتن وقت مشاوره از طریق پل های ارتباطی به صورت حضوری و غیر حضوری ( مجازی )
دریافت طرح درمان
معاینه و ویزیت شدن توسط دندانپزشک و گرفتن بهترین طرح درمان برای انجام کار
خلق لبخندی زیبا
شروع درمان یا ارائه خدمات زیبایی به مراجعه کننده و شروع کار مرحله به مرحله تا پایان درمان .
بخش زیبایی
خلق لبخندی با عشق
دکتر فرشید حاجی قاسمی در بخش زیبایی ما به صورت تخصصی پرداخته ایم به طراحی خط لبخند با جدید ترین متد های روز دنیای دندانپزشکی و استفاده از بازوی قدرت همچون لابراتوار های پیشرفته و همچنین استفاده از بهترین متریال روز دنیای دندانپزشکی با برندهایی معتبر و شناخته شده در این عرصه ، همچنین تجربه بالا مهر تاییدی برای ساخت لبخندی زیبا و لوکس برای شما عزیزان می باشد .
بخش جراحی و ایمپلنت
لبخندی مادام العمر
دکتر فرشید حاجی قاسمی در بخش تخصصی جراحی و ایمپلنت با استفاده از مدرنترین تجهیزات و ابزارهای روز دنیا و استفاده از معتبرترین برندهای دنیای دندانپزشکی در کنار سابقه ای بلند بالا توانسته ایم در این بخش به بهترین شکل ممکن ظاهر شویم و لبخندی زیبا برای مراجعه کنندگان عزیز خلق کنیم .